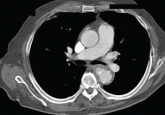
ArticleSalmonella-related mycotic pseudoaneurysmAuthor:Bacel Nseir, MDPublish date: May 1, 2009A 74-year-old man is admitted to the hospital with a 7-day history of fever, rigors, chest pain, and general weakness. He underwent coronary artery...Read More