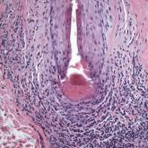
ArticleHair Follicle Bulb Region: A Potential Nidus for the Formation of Osteoma CutisAuthor:Arif Suhail Usmani, MDPublish date: February 3, 2021Understanding the pathogenesis of osteoma cutis can help physicians devise management of these disfiguring lesions.Read More