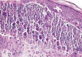
ArticleA 56-year-old with diarrhea and weaknessAuthor:Areeba Y. Kara, MD, MS, FACPPublish date: October 1, 2015The patient has unintentionally lost 137 lb over the past year. What is the cause?Read More