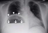
Article‘Air-raising’: An air-fluid level in the right subphrenic regionAuthor:Anupam Gupta, MDPublish date: September 1, 2016Plain chest radiography showed dramatic elevation of the right hemidiaphragm with a large subphrenic air-fluid level.Read More