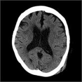
ArticleConfusion recurs 2 weeks after fallAuthor:Andrew Muck, MDPublish date: October 2, 2017Initial head and neck CT scans following a syncopal episode were unrevealing. Two weeks later, a follow-up scan painted a different picture.Read More
ArticleTeenager with shortness of breath and hypoxiaAuthor:Andrew Muck, MDPublish date: June 1, 2014In addition to the signs and symptoms that brought this teen to our ED, there was one important detail that he failed to initially mention.Read More