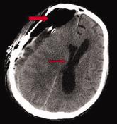
ArticleTension Pneumocephalus as Complication of Hematoma EvacuationAuthor:Andrew Cummins, MS, MDPublish date: June 5, 2009Read More