Alvin C. Silva, MD
search
All Specialties
CME Events
REGISTER or LOGIN
/
Alvin C. Silva, MD
search
ADVERTISEMENT
Alvin C. Silva, MD
Article
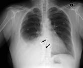
Port‐A‐Cath Embolization
Author:
Alvin C. Silva, MD
Publish date:
January 26, 2010
Read More