Article
Metacognition to Reduce Medical Error
- Author:
- Allan S. Detsky, MD, PhD
Publish date: November 3, 2015
Article

The Puzzle of Posthospital Recovery
- Author:
- Allan S. Detsky, MD, PhD
Publish date: August 19, 2015
Article

Elements of Confusion
- Author:
- Allan S. Detsky, MD, PhD
Publish date: December 15, 2010
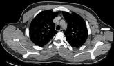
Article
Opacity Overlying Vertebral Column on CRX
- Author:
- Allan S. Detsky, MD, PhD
Publish date: December 9, 2009
Article

In the Eye of the Storm
- Author:
- Allan S. Detsky, MD, PhD
Publish date: December 14, 2007
Article

Clinical Conundrum
- Author:
- Allan S. Detsky, MD, PhD
Publish date: August 10, 2006