Abhijeet Dhoble, MD
search
All Specialties
CME Events
REGISTER or LOGIN
/
Abhijeet Dhoble, MD
search
ADVERTISEMENT
Abhijeet Dhoble, MD
Article
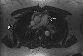
Pulmonary Artery Dissection
Author:
Abhijeet Dhoble, MD
Publish date:
June 9, 2010
Read More